Välkommen att följa detta patientfall om metastaterad prostatacancer
Följande patientfall är framtaget av Chunde Li, MD, PhD, Docent/Överläkare på onkologiska kliniken Södersjukhuset i Stockholm på uppdrag av AstraZeneca.
Personliga detaljer kring patienten är fingerade, men det medicinska förloppet bygger på ett verkligt patientfall.
I det här patientfallet kommer du att få träffa Karl 52 år, som nyligen blivit diagnostiserad med metastaserad prostatacancer. Fallet blandas med information om utredning och behandling samt kliniska frågeställningar som behöver besvaras för att komma vidare.
Observera att flera svarsalternativ kan vara korrekta.
Patientfallet tar cirka 15 minuter att genomföra.
Vi hoppas detta patientfall ska blir en lärorik och en intressant genomgång för hur en behandlingsresa kan se ut för en patient med metastaserad prostatacancer.
Anamnes och bakgrund
Karl är 52 år och VD för ett startupföretag i medtechbranschen. Han jobbar långa dagar och reser mycket. Cyklar till och från jobbet (ca 1,3 mil) och tränar på gym flera dagar i veckan. Gift, har två vuxna barn och tre små barnbarn. Måttlig alkoholkonsumtion, slutade snusa för några år sedan.
Tidigare frisk utan andra sjukdomar. Fadern hade spridd prostatacancer i ung ålder och fick GNRH-analog-behandling.
Hälsokontroll med PSA på grund av oro då hans far hade spridd prostatacancer.
PSA-värde: 8 mg/L.
1. Vad är en korrekt nästa åtgärd?
Utredning hos urolog
Ett nytt PSA-prov tas. Värde: 10 mg/L. Efter rektal palpation konstateras stor och hård prostata, T3–T4.
Man gör en MR-undersökning av prostatan. Enligt MR-svaret: T4 med omfattande vesikel- samt urinblåseinvasion. N1 med ett flertal 1–2,5 cm stora lymfkörtlar i bäckenet med patologiskt utseende. M1 med en drygt 1 cm stor misstänkt skelettmetastas i bäckenet.
PAD av prostatabiopsi (i alla fyra biopsier):
Prostatacancer, GS 5+4=9, ISUP grupp 5.
90% Gleason grad 5 och 10% Gleason grad 4.
Patologer oeniga om eventuell småcellig komponent.
Bild: RCC. (2024) Prostatacancer, Nationellt vårdprogram (Version: 9.0), s 307
https://kunskapsbanken.cancercentrum.se/globalassets/cancerdiagnoser/prostatacancer/vardprogram/nvp-prostatacancer2.pdf
2. Hur skulle du välja att gå vidare?
3. Vilken metodik bör användas för metastasutredningen?
Resultat metastasutredning
Efter utredning med scint och DT thorax/buk med i.v. kontrast konstaterades prostatacancer T4N1M1.
T4N1M1:
- T4: Lokalt mycket avancerad med urinblåsinvasion
- N1: Flera stycken stora (1-2,5cm) patologiska lymfkörtlar i bäckenet.
- M1: En 1 cm stor skelettmetastas i bäckenet.
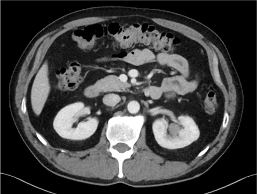
I samband med undersökningen upptäcktes även ett bifynd, en 1,5 cm stor förändring i vänster njure med misstanke om lokaliserad urotelialcancer (UTUC) (T1N0M0).

Referens: Nationella vårdprogrammet prostatacancer, version 9.0 kap 8.2.1
Vid Diagnos
Vänster Njurbäckens tumör

4. Hur skulle du gå vidare nu? Behövs vidare utredning?
Resultat från cystoskopi
Karl genomgår en cystoskopi utan fynd. Misstanke om samtidig urinblåsemalignitet avfärdas därmed och urotelialcancern konstateras vara lokaliserad (T1N0M0).
5. Vilken molekylär analys kan du tänka dig att göra? (ett eller flera svar kan vara rätt)
Fakta
BRCA står för BReast CAncer gene och det finns två varianter: BRCA1 och BRCA2. BRCA-generna är inblandade i reparationen av eventuella skador på vårt DNA. En mutation i någon av generna innebär att cellerna har svårare att reparera skador på vårt DNA. Inom prostatacancer är testning av BRCA viktigt, både vid frågor om ärftlighet men även utifrån behandlingsprediktiva faktorer.
Män med mutation i BRCA2 har omkring tre gånger ökad risk för prostatacancer och cancergenetisk utredning bör erbjudas vid misstanke om ärftligt cancersyndrom.
Behandlingsprediktiv testning är nödvändig inför behandling med PARP-hämmare och förutsätter mutation i BRCA1/2 (konstitutionell eller somatisk).
I dagsläget finns dock ingen godkänd indikation för PARP-hämmare i den hormonkänsliga fas av sjukdomen som Karl nu befinner sig i. Det kan dock finnas en poäng att testa tidigt när det finns tillgång till biopsimaterial av hög kvalitet för att öka chanserna till en fungerande analys. Svaret finns då redo inför behandlingsval senare i sjukdomsförloppet.1
1. Nationella vårdprogrammet prostatacancer, version 9.0 kap 6, 4.2
Status
I Karls fall gjordes en BRCA-analys på en nytagen biopsi som påvisade en patologisk BRCA2-mutation.
Eftersom att det även fanns en stark misstanke om hereditet inom familjen skickades också en remiss till cancergenetisk mottagning för vidare ärftlighetsutredning.
6. Hur väljer du att att gå vidare med behandlingen?
Behandling
En vänstersidig nefroureteroektiomi görs och behandling med ADT sätts omgående in.
Status efter vänstersidig nefroureteroektiomi och <3 månaders ADT
Ny PAD visar på papillär urotelialcancer, G3, T1N0R0.
Ny scint visar på regress av skelettmetastasen i bäckenet. Inga nytillkomna metastaser i skelettet. DT visar på regress av kända lymfkörtel- och skelettmetastaser. Dock påvisas en ny och liten sklerotisk metastas i L1.
Nya prover tas. Svaret visar att PSA har sjunkit från 10 mg/L till 2 mg/L, ALP är normalt och testosteron är < 0,1 nmol/L.
Vid Diagnos
Metastas i bäckenet

Definitioner
Kastrationsresistent prostatacancer (CRPC):1
CRPC definieras som minst ett av nedanstående tecken till progress hos män med plasmatestosteronvärde <1,7 nmol/l:
- lokal progress värderad genom palpation eller bilddiagnostik
- nytillkomna eller växande metastaser
- ökning av PSA-värdet med >1 µg/l vid totalt PSA >2 µg/l i minst två på varandra följande prov med minst en veckas mellanrum.
1.RCC. (2024) Prostatacancer, Nationellt vårdprogram (Version: 9.0), s 160.
https://kunskapsbanken.cancercentrum.se/globalassets/cancerdiagnoser/prostatacancer/vardprogram/nvp-prostatacancer2.pdf
7. Har Karls prostatacancer blivit kastrationsresistent?
Status, datortomografi
En ny DT görs utan att visa på några tecken på progress. Bedömningen är alltså att Karls prostatacancer är metastaserad och hormonkänslig (mHSPC).
8. Vad anser du är det bästa alternativet för vidare behandling? Vad kan läggs till pågående ADT?
* Se förklaring på nästa bild
Fakta, definitioner
Begreppen hög- respektive lågvolym representerar metastasvolymen.

Christopher J. Sweeney, M.B., B.S., Yu-Hui Chen, M.S., M.P.H. (2015). Chemohormonal Therapy in Metastatic Hormone-Sensitive Prostate Cancer. The New Journal of Medicine. 2015;373:737-746. DOI: 10.1056/NEJMoa1503747.
Status
Karl har fått fyra kurer docetaxel och är mycket trött. Han vill inte ha fler kurer nu.
PSA-värdet är nere på drygt 2 mg/L.
9. Vilken åtgärd är lämplig att vidta nu?
Vidare utredning och status
Patienten genomgår scint och DT thorax.
Status är nu:
- PSA stabil på 2,2 mg/L, ALP är normal, testosteron <0,1 nmol/L.
- Scint status quo utan progress.
- DT thorax och buk visar nytillkomna skelettmetastaser i fler (> 4) ställen.
10. Har cancern progredierat till metastaserad kastrationsresistent prostatacancer (mCRPC)?
Bedömning
Bedömningen är nu att patienten har uppvisat progress till metastaserad kastrationsresistent prostatacancer (mCRPC).
Vi vet också sedan tidigare molekylär analys att patienten har en BRCA2-mutation.
11. Föranleder ovan information vidare behandling? I så fall vilken? (ett eller flera svar kan vara rätt)
Behandlingsutvärdering
I det här fallet erbjöds patienten en kombination av ADT, abirateronacetat och olaparib. Efter tre månader gjordes en terapiutvärdering som visade följande:
- Sjunkande PSA från 2,2 mg/L till nadir 0,81 mg/L.
- Stabil sjukdom på scint och DT thorax och buk med i.v. kontrast.
Biverkningar:
- Anemi med Hb 110-120 g/L jämfört med baseline Hb 140 g/L vid diagnosen.
- Tydlig trötthet (Grad 2) jämfört med diagnosen.
12. Patienten frågar om det finns möjlighet att pausa behandlingen med olaparib eller reducera dosen. Vad svarar du?
Uppföljning
Efter diskussioner med patienten beslutas att patienten står kvar på behandlingen. Efter ytterligare tre månader, det vill säga efter totalt sex månaders behandling med ADT, abirateronacetat och olaparib, görs en ny utvärdering.
Den visar följande:
- stigande PSA från 0,81 mg/L till 2,2 mg/L
- stabil sjukdom på scint och DT thorax samt buk.
13. Fortsätter du behandling med ADT, abirateronacetat och olaparib?
Behandlingsutvärdering
Karl har nu stått på behandling med ADT+abirateron+olaparib i totalt nio månader.
Scint och DT visar inga tecken på progress. MR-prostata och bäcken visar även denna god respons där de kända lymfkörtel-metastaserna nästan har gått i total regress. Det finns heller ingen synlig tumörförändring kvar i prostatan och urinblåsbotten.
Karl har återhämtat sig från den värsta tröttheten och mår nu bättre.
Med bakgrund i den goda responsen tas beslutet att fortsätta behandlingen så länge som ingen progress eller oacceptabel toxicitet uppkommer. En ny uppföljning med scint och DT thorax buk planeras in om 3 månader.

Testet är nu avslutat
Ditt resultat: /
Tack!
Tack för att du har tagit dig tid att genomför detta fallet! Hoppas det har varit lärorikt och givande.